
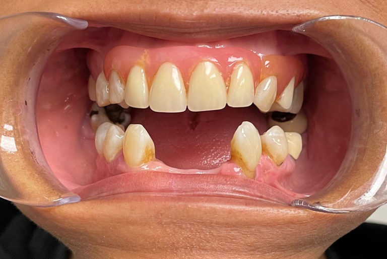
Not All Bone Grafts Are Created Equal – Advanced Bone Grafting For Dental Implants
Sinus Bone Graft For Implants Dental implants are the most successful and dependable form of tooth replacement, but if you have been missing teeth for a long time, your jaw bone structure may no longer be sufficient to support implants. Your jaw bone is supported and stimulated by the presence



